-

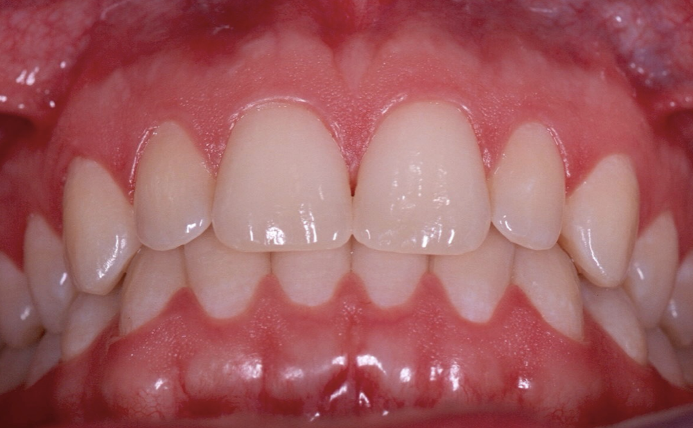
Hygiene Maintenance
Each time you are seen for Hygiene maintenance, it is a chance for you to partner with your hygienist to re-assess your health, re-assess what is important to you about your teeth and health, and reimagine what’s possible. Our hygiene appotinemtns put you in control, giving you information and assessments to support you in making the right decisions!
-

Periodontal Health
Gum and Bone health, also known as Periodontal Health, is based on a complex, interconnected set of factors that need to be individually and collectively diagnosed and a customized care plan created to achieve and maintain health for the long term!
-

TMJ
Jaw Joint health, and disease, are based on several factors not limited to the chewing system or how the teeth work together, the cervical spine, and airway to name a few. TMJ requires a diagnostic process to uncover your specific set of causative factors and create the right plan for you! Start your personalized dental medicine journey today!
-

Implants
Implants are the modern way to replace a tooth that needs to be extracted, or replace several missing teeth, even a whole arch. Placing implants in such a way that they function properly together for the long-term is something Dr. Overholtzer is passionate about. He wants to make sure your implants are performed with the bite and your health in mind, for longevity and protecting your investment, restoring your smile and adding life to years!